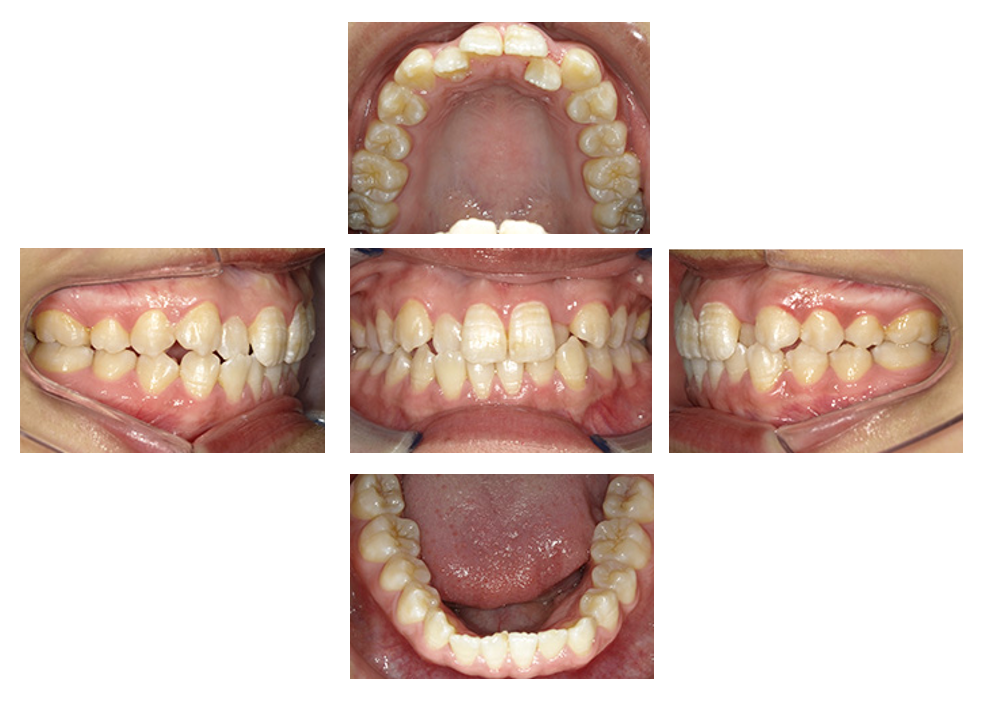
マウスピース型矯正装置の症例1:叢生、過蓋咬合、出っ歯
治療前

治療後

治療前

治療後

| 主訴 | 前歯のガタガタ |
|---|---|
| 診断名あるいは主な症状 | 叢生、過蓋咬合、出っ歯 |
| 年齢・性別 | 12歳 女性 |
| 治療期間・回数 | 2年3か月 |
| 抜歯部位(抜歯の有無) | 非抜歯 |
| 治療に用いた主な装置 | マウスピース型矯正装置(インビザライン) |
| 治療費 | 1,023,000円(税込) |
| リスクと副作用 | 歯肉退縮、歯根吸収 |
マウスピース型矯正装置症例2:叢生、過蓋咬合、出っ歯
治療前

治療後

治療前

治療後

| 主訴 | 出っ歯 |
|---|---|
| 診断名あるいは主な症状 | 叢生、過蓋咬合、出っ歯 |
| 年齢・性別 | 28歳 女性 |
| 治療期間・回数 | 1年11か月 |
| 抜歯部位(抜歯の有無) | 非抜歯 |
| 治療に用いた主な装置 | マウスピース型矯正装置(インビザライン) |
| 治療費 | 1,023,000円(税込) |
| リスクと副作用 | 歯肉退縮、歯根吸収 |
マウスピース型矯正装置の症例3:叢生、出っ歯
治療前

治療後

治療前

治療後

| 主訴 | 前歯のガタガタ、出っ歯 |
|---|---|
| 診断名あるいは主な症状 | 叢生、出っ歯 |
| 年齢・性別 | 23歳 女性 |
| 治療期間・回数 | 1年4か月 |
| 抜歯部位(抜歯の有無) | 非抜歯 |
| 治療に用いた主な装置 | マウスピース型矯正装置(インビザライン) |
| 治療費 | 1,023,000円(税込) |
| リスクと副作用 | 歯肉退縮、歯根吸収 |
マウスピース型矯正装置の症例4:叢生、反対咬合
治療前

治療後

治療前

治療後

| 主訴 | 前歯のガタガタ、受け口 |
|---|---|
| 診断名あるいは主な症状 | 叢生、反対咬合 |
| 年齢・性別 | 19歳 男性 |
| 治療期間・回数 | 2年4か月 |
| 抜歯部位(抜歯の有無) | 非抜歯 |
| 治療に用いた主な装置 | マウスピース型矯正装置(インビザライン) |
| 治療費 | 1,023,000円(税込) |
| リスクと副作用 | 歯肉退縮、歯根吸収 |
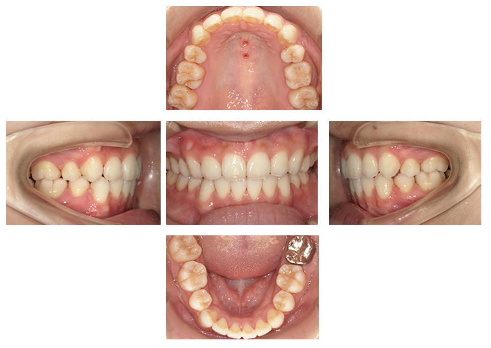
マウスピース型矯正装置の症例5:叢生
治療前

治療後

治療前

治療後

| 主訴 | 前歯のガタガタ |
|---|---|
| 診断名あるいは主な症状 | 叢生 |
| 年齢・性別 | 18歳 女性 |
| 治療期間・回数 | 1年0か月 |
| 抜歯部位(抜歯の有無) | 非抜歯 |
| 治療に用いた主な装置 | マウスピース型矯正装置(インビザライン) |
| 治療費 | 946,000円(税込) |
| リスクと副作用 | 歯肉退縮、歯根吸収 |
マウスピース型矯正装置の症例6:叢生、出っ歯
治療前

治療後

治療前

治療後

| 主訴 | 出っ歯 |
|---|---|
| 診断名あるいは主な症状 | 叢生、出っ歯 |
| 年齢・性別 | 12歳 男性 |
| 治療期間・回数 | 1年4か月 |
| 抜歯部位(抜歯の有無) | 非抜歯 |
| 治療に用いた主な装置 | マウスピース型矯正装置(インビザライン) |
| 治療費 | 1,023,000円(税込) |
| リスクと副作用 | 歯肉退縮、歯根吸収 |
マウスピース矯正の症例7:叢生
治療前

治療後

治療前

治療後

| 主訴 | 前歯のガタガタ |
|---|---|
| 診断名あるいは主な症状 | 叢生 |
| 年齢・性別 | 25歳 女性 |
| 治療期間・回数 | 1年0か月 |
| 抜歯部位(抜歯の有無) | 非抜歯 |
| 治療に用いた主な装置 | マウスピース型矯正装置(インビザライン) |
| 治療費 | 946,000円(税込) |
| リスクと副作用 | 歯肉退縮、歯根吸収 |
マウスピース矯正の症例8:叢生、反対咬合、空隙歯列
治療前

治療後

治療前

治療後
準備中です。
| 主訴 | 受け口 |
|---|---|
| 診断名あるいは主な症状 | 叢生、反対咬合、空隙歯列 |
| 年齢・性別 | 38歳 女性 |
| 治療期間・回数 | 1年1か月 |
| 抜歯部位(抜歯の有無) | 非抜歯 |
| 治療に用いた主な装置 | マウスピース型矯正装置(インビザライン) |
| 治療費 | 1,023,000円(税込) |
| リスクと副作用 | 歯肉退縮、歯根吸収 |
マウスピース矯正の症例9:叢生、出っ歯
治療前

治療後

治療前

治療後

| 主訴 | 出っ歯、八重歯 |
|---|---|
| 診断名あるいは主な症状 | 叢生、出っ歯 |
| 年齢・性別 | 23歳 女性 |
| 治療期間・回数 | 2年2か月 |
| 抜歯部位(抜歯の有無) | 上顎左右第一小臼歯を抜歯 |
| 治療に用いた主な装置 | マウスピース型矯正装置(インビザライン) |
| 治療費 | 1,129,300円(税込) |
| リスクと副作用 | 歯肉退縮、歯根吸収 |
マウスピース矯正の症例10:叢生、出っ歯
治療前

治療後

治療前

治療後

| 主訴 | 出っ歯、八重歯 |
|---|---|
| 診断名あるいは主な症状 | 叢生、出っ歯 |
| 年齢・性別 | 25歳 女性 |
| 治療期間・回数 | 2年11か月 |
| 抜歯部位(抜歯の有無) | 上顎左右第二小臼歯を抜歯 |
| 治療に用いた主な装置 | マウスピース型矯正装置(インビザライン) |
| 治療費 | 1,129,300円(税込) |
| リスクと副作用 | 歯肉退縮、歯根吸収 |
マウスピース型矯正装置の症例11:叢生、出っ歯、矮小歯、過蓋咬合
治療前

治療後

治療前

治療後

| 主訴 | 出っ歯 |
|---|---|
| 診断名あるいは主な症状 | 叢生、出っ歯、矮小歯、過蓋咬合 |
| 年齢・性別 | 26歳 女性 |
| 治療期間・回数 | 2年7か月 |
| 抜歯部位(抜歯の有無) | 上顎左右側切歯を抜歯 |
| 治療に用いた主な装置 | マウスピース型矯正装置(インビザライン) |
| 治療費 | 1,129,300円(税込) |
| リスクと副作用 | 歯肉退縮、歯根吸収 |
マウスピース型矯正装置の症例12:叢生、出っ歯
治療前

治療後

治療前

治療後

| 主訴 | 出っ歯 |
|---|---|
| 診断名あるいは主な症状 | 叢生、出っ歯 |
| 年齢・性別 | 39歳 女性 |
| 治療期間・回数 | 2年6か月 |
| 抜歯部位(抜歯の有無) | 上顎左右中切歯および下顎左右第一小臼歯を抜歯 |
| 治療に用いた主な装置 | マウスピース型矯正装置(インビザライン) |
| 治療費 | 1,148,560円(税込) |
| リスクと副作用 | 歯肉退縮、歯根吸収 |
マウスピース型矯正装置の症例13:叢生、出っ歯
治療前

治療後

治療前

治療後

| 主訴 | 前歯のガタガタ、出っ歯 |
|---|---|
| 診断名あるいは主な症状 | 叢生、出っ歯 |
| 年齢・性別 | 23歳 女性 |
| 治療期間・回数 | 2年6か月 |
| 抜歯部位(抜歯の有無) | 上下顎左右第一小臼歯を抜歯 |
| 治療に用いた主な装置 | マウスピース型矯正装置(インビザライン) |
| 治療費 | 1,148,560円(税込) |
| リスクと副作用 | 歯肉退縮、歯根吸収 |
ワイヤーブラケット矯正の症例1:叢生、出っ歯
治療前

治療後

治療前

治療後

| 主訴 | 前歯のガタガタ、出っ歯 |
|---|---|
| 診断名あるいは主な症状 | 叢生、出っ歯 |
| 年齢・性別 | 33歳 女性 |
| 治療期間・回数 | 2年11か月 |
| 抜歯部位(抜歯の有無) | 上下顎左右第一小臼歯を抜歯 |
| 治療に用いた主な装置 | ブラケット、歯科矯正用アンカースクリュー |
| 治療費 | 1,189,250円(税込) |
| リスクと副作用 | 歯肉退縮、歯根吸収 |
ワイヤーブラケット矯正の症例2:叢生、出っ歯
治療前

治療後

治療前

治療後

| 主訴 | 前歯のガタガタ、出っ歯 |
|---|---|
| 診断名あるいは主な症状 | 叢生、出っ歯 |
| 年齢・性別 | 22歳 女性 |
| 治療期間・回数 | 3年6か月 |
| 抜歯部位(抜歯の有無) | 上下顎左右第一小臼歯を抜歯 |
| 治療に用いた主な装置 | ブラケット、歯科矯正用アンカースクリュー |
| 治療費 | 1,189,250円(税込) |
| リスクと副作用 | 歯肉退縮、歯根吸収 |
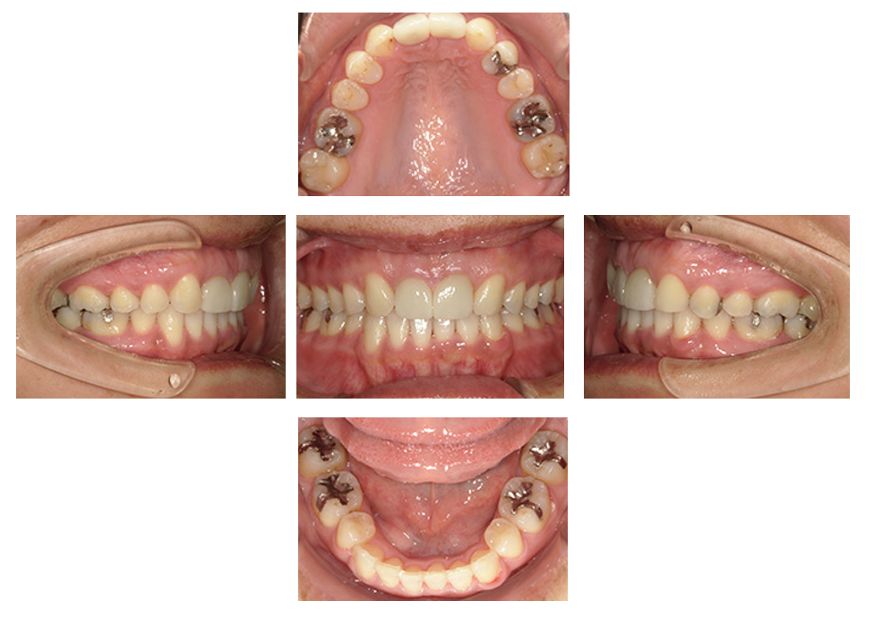
ワイヤーブラケット矯正の症例3:叢生、出っ歯、ガミースマイル
治療前

治療後

治療前

治療後

| 主訴 | 前歯のガタガタ、出っ歯、ガミースマイル |
|---|---|
| 診断名あるいは主な症状 | 叢生、出っ歯、ガミースマイル |
| 年齢・性別 | 23歳 女性 |
| 治療期間・回数 | 3年0か月 |
| 抜歯部位(抜歯の有無) | 上下顎左右第一小臼歯を抜歯 |
| 治療に用いた主な装置 | ブラケット、歯科矯正用アンカースクリュー |
| 治療費 | 1,189,250円(税込) |
| リスクと副作用 | 歯肉退縮、歯根吸収 |
ワイヤーブラケット矯正の症例4:叢生(歯のガタガタ)
抜歯をすることで歯の並ぶ隙間を確保し、ガタガタをとって上下の咬み合わせも緊密にしました。
治療前

治療後

| 主訴 | 前歯のガタガタとかみ合わせが悪いことが気になる |
|---|---|
| 診断名あるいは主な症状 | 叢生、反対咬合 |
| 年齢・性別 | 32歳 女性 |
| 治療期間・回数 | 2年3か月 29回 |
| 抜歯部位(抜歯の有無) | 上下顎左右第一小臼歯を抜歯 |
| 治療に用いた主な装置 | 表側ブラケット(ワイヤー) |
| 治療費 | 957,000円 |
| リスクと副作用 | 痛み、歯根吸収、歯肉退縮 |
ワイヤーブラケット矯正の症例5:叢生(歯のガタガタ)
表側ブラケットを用いて上下顎2本ずつの歯を抜歯して、咬み合わせと前歯の叢生(がたがた)を治療
治療前

治療後

治療前

治療後

| 主訴 | 前歯がガタガタで、反対にかみ合っているところがあるのが気になる |
|---|---|
| 診断名あるいは主な症状 | 叢生、反対咬合、かみ合わせのずれ |
| 年齢・性別 | 12歳 男性 |
| 治療期間・回数 | 2年1か月 26回 |
| 抜歯部位(抜歯の有無) | 上下左右第一小臼歯を抜歯 |
| 治療に用いた主な装置 | 表側ブラケット(ワイヤー) |
| 治療費 | 957,000円 |
| リスクと副作用 | 痛み、歯根吸収、歯肉退縮 |
ワイヤーブラケット矯正の症例6:叢生(がたがた)・小臼歯がねじれて生えている
表側ブラケットを用いて非抜歯にて治療。前歯の叢生(がたがた)と小臼歯の咬み合わせを治療
治療前

治療後

治療前

治療後

| 主訴 | 前歯がガタガタしているのが気になる |
|---|---|
| 診断名あるいは主な症状 | 叢生、反対咬合、捻転 |
| 年齢・性別 | 14歳 男性 |
| 治療期間・回数 | 2年6か月 29回 |
| 抜歯部位(抜歯の有無) | 非抜歯 |
| 治療に用いた主な装置 | 表側ブラケット(ワイヤー) |
| 治療費 | 880,000円 |
| リスクと副作用 | 痛み、歯根吸収、歯肉退縮 |
ワイヤーブラケット矯正の症例7:反対咬合(受け口)
咬み合わせが反対であることと、下のあごが左にずれていることを気にして来院されました。下のあごの骨が前や左にずれていたことから手術を併用して、上下の骨と歯のバランスを整えました。
治療前

治療後

| 主訴 | 前歯が反対でかみ合わせが悪いことが気になる |
|---|---|
| 診断名あるいは主な症状 | 叢生、反対咬合(顎変形症) |
| 年齢・性別 | 26歳 男性 |
| 治療期間・回数 | 2年3か月 27回 |
| 抜歯部位(抜歯の有無) | 上顎左右第一小臼歯を抜歯 |
| 治療に用いた主な装置 | 表側ブラケット(ワイヤー) |
| 治療費 | 保険治療(外科手術併用) |
| リスクと副作用 | 痛み、歯根吸収、歯肉退縮、虫歯、後戻り |
ワイヤーブラケット矯正の症例8:上顎前突(出っ歯)
前歯が出ていること、口がうまく閉じられないことを気にして来院されました。前歯をうしろに下げることで、口元の出ている感じをなくし、口をとじやすくし、また緊密な咬み合わせを整えました。
治療前

治療後

| 主訴 | 前歯が出ていることが気になる |
|---|---|
| 診断名あるいは主な症状 | 叢生、出っ歯、奥歯のかみ合わせのずれ |
| 年齢・性別 | 21歳 女性 |
| 治療期間・回数 | 2年6か月 29回 |
| 抜歯部位(抜歯の有無) | 上顎左右第一小臼歯を抜歯 |
| 治療に用いた主な装置 | 表側ブラケット(ワイヤー) |
| 治療費 | 957,000円 |
| リスクと副作用 | 痛み、歯根吸収、歯肉退縮 |
ワイヤーブラケット矯正の症例9:上顎前突(出っ歯)・叢生(がたがた)
表側ブラケットと歯科矯正用アンカースクリューを用いて、上下顎2本ずつの歯を抜歯して、上顎前突(出っ歯)と叢生(がたがた)を治療
治療前

治療後

治療前

治療後

| 主訴 | 前歯がガタガタしているのが気になる。右下の奥歯に親知らずを移植したい |
|---|---|
| 診断名あるいは主な症状 | 叢生、下顎右側第二大臼歯欠損 |
| 年齢・性別 | 46歳 女性 |
| 治療期間・回数 | 2年11か月 |
| 抜歯部位(抜歯の有無) | 上顎右側第一小臼歯、上顎左側第二小臼歯、下顎左右側第一小臼歯を抜歯 |
| 治療に用いた主な装置 | 表側ブラケット(ワイヤー) |
| 治療費 | 957,000円 |
| リスクと副作用 | 痛み、歯根吸収、歯肉退縮、虫歯、後戻り、移植歯が生着しない可能性、ブラックトライアングル |
ワイヤーブラケット矯正の症例10:上顎前突・叢生(がたがた)以前に一般歯科にて犬歯を抜いてしまっている
奥歯が1本虫歯で抜歯となってしまってできた隙間に、後ろの歯をよせて咬み合わせを治療
表側ブラケットを用いて上下顎1本ずつの歯を抜歯して、前歯の叢生(がたがた)と奥歯の咬み合わせを治療
治療前

治療後

治療前

治療後

| 主訴 | 前歯のガタガタが気になる。右下の奥歯は抜歯になると言われたので、抜いた後の隙間を矯正歯科治療でつめたい |
|---|---|
| 診断名あるいは主な症状 | 上顎右側犬歯の欠損、叢生 |
| 年齢・性別 | 43歳 女性 |
| 治療期間・回数 | 1年9か月 23回 |
| 抜歯部位(抜歯の有無) | 上顎左側第一小臼歯、下顎左側第一小臼歯、下顎右側第一大臼歯を抜歯 |
| 治療に用いた主な装置 | 表側ブラケット(ワイヤー) |
| 治療費 | 957,000円 |
| リスクと副作用 | 治療期間の長期化、痛み、歯根吸収、歯肉退縮、虫歯、後戻りブラックトライアングル |
ワイヤーブラケット矯正の症例11:下顎前突(前歯のかみ合わせが反対)・叢生(がたがた)
表側ブラケットを用いて上下顎2本ずつの歯を抜歯して、前歯の咬み合わせと叢生(がたがた)を治療
治療前

治療後

治療前

治療後

| 主訴 | 前歯の咬み合わせが反対なのが気になる |
|---|---|
| 診断名あるいは主な症状 | 反対咬合、叢生 |
| 年齢・性別 | 19歳 男性 |
| 治療期間・回数 | 3年2か月 38回 |
| 抜歯部位(抜歯の有無) | 上顎左右第二小臼歯、下顎左右第一小臼歯を抜歯 |
| 治療に用いた主な装置 | 表側ブラケット(ワイヤー) |
| 治療費 | 957,000円 |
| リスクと副作用 | 痛み、歯根吸収、歯肉退縮 |
ワイヤーブラケット矯正の症例12:下顎前突(骨格性)・乳歯晩期残存(本来抜けるはずの乳歯が抜けずに残っている)
治療前

治療後

治療前

治療後

| 主訴 | 受け口なのが気になる。顔が曲がっている気がする |
|---|---|
| 診断名あるいは主な症状 | 乳歯晩期残存、下顎の左方偏位、反対咬合(顎変形症) |
| 年齢・性別 | 31歳 女性 |
| 治療期間・回数 | 2年10か月 34回 |
| 抜歯部位(抜歯の有無) | 上顎左側乳犬歯、下顎左右側乳犬歯を抜歯 |
| 治療に用いた主な装置 | 表側ブラケット(ワイヤー) |
| 治療費 | 保険治療(外科手術併用) |
| リスクと副作用 | 痛み、歯根吸収、歯肉退縮、虫歯、後戻り、ブラックトライアングル |
ワイヤーブラケット矯正の症例13:下顎前突(骨格性)
表側ブラケットを用いて歯を抜かずに、矯正治療をした後、外科手術により、下顎の骨の長さを短くすることにより、前歯と奥歯の咬み合わせを治療
治療前

治療後

治療前

治療後

| 主訴 | 前歯がかみ合わないのが気になる |
|---|---|
| 診断名あるいは主な症状 | 叢生、下顎の左方偏位、反対咬合(顎変形症) |
| 年齢・性別 | 16歳 男性 |
| 治療期間・回数 | 3年 36回 |
| 抜歯部位(抜歯の有無) | 非抜歯 |
| 治療に用いた主な装置 | 表側ブラケット(ワイヤー) |
| 治療費 | 保険治療(外科手術併用) |
| リスクと副作用 | 痛み、歯根吸収、歯肉退縮、虫歯、後戻り、ブラックトライアングル |
ワイヤーブラケット矯正の症例14:過蓋咬合(かみ合わせが深い)
表側ブラケットと歯科矯正用アンカースクリューを用いて、上顎2本の歯を抜歯し、出っ歯と過蓋咬合を治療
治療前

治療後

治療前

治療後

| 主訴 | 左上の差し歯が取れた際に近くの歯科医院を受診したところ、深いかみ合わせをなおさないと、差し歯を付け直してもまた外れてしまうと言われたので、かみ合わせを浅くしたい |
|---|---|
| 診断名あるいは主な症状 | 過蓋咬合、奥歯のかみ合わせのずれ |
| 年齢・性別 | 29歳 男性 |
| 治療期間・回数 | 2年10か月 34回 |
| 抜歯部位(抜歯の有無) | 上顎左右第一小臼歯を抜歯 |
| 治療に用いた主な装置 | 表側ブラケット(ワイヤー) |
| 治療費 | 957,000円 |
| リスクと副作用 | 治療期間の長期化、痛み、歯根吸収、歯肉退縮、虫歯、後戻り、ブラックトライアングル |
ワイヤーブラケット矯正の症例15:開咬
前歯でものが咬み切れない、うまく発音できないことを気にして来院されました。隙間を閉じました。これにより、ものを咬み切ったり発音がうまくできるようになり、機能的な問題も改善されました。
治療前

治療後

| 主訴 | 前歯でものが咬み切れない |
|---|---|
| 診断名あるいは主な症状 | 開咬、奥歯のかみ合わせのずれ |
| 年齢・性別 | 27歳 男性 |
| 治療期間・回数 | 2年3か月 27回 |
| 抜歯部位(抜歯の有無) | 上下顎左右第一小臼歯を抜歯 |
| 治療に用いた主な装置 | 表側ブラケット(ワイヤー) |
| 治療費 | 957,000円 |
| リスクと副作用 | 治療期間の長期化、痛み、歯根吸収、歯肉退縮、虫歯、後戻り、ブラックトライアングル |
ワイヤーブラケット矯正の症例16:開咬(前歯でものが噛み切れない)
表側ブラケットを用いて上下顎2本ずつの歯を抜歯して、前歯の叢生(がたがた)と開咬を治療
治療前

治療後

治療前

治療後

| 主訴 | 前歯で物がかみきれない |
|---|---|
| 診断名あるいは主な症状 | 上顎歯列弓の狭窄、叢生、開咬 |
| 年齢・性別 | 32歳 女性 |
| 治療期間・回数 | 3年 36回 |
| 抜歯部位(抜歯の有無) | 上下顎左右側第二小臼歯を抜歯 |
| 治療に用いた主な装置 | 表側ブラケット(ワイヤー) |
| 治療費 | 957,000円 |
| リスクと副作用 | 治療期間の長期化、痛み、歯根吸収、歯肉退縮、後戻り、ブラックトライアングル |
ワイヤーブラケット矯正の症例17:開咬(骨格性)
表側ブラケットを用いて上下顎2本ずつの歯を抜歯して、矯正治療をした後、外科手術により、上下顎の骨の長さを調整することにより、前歯と奥歯の咬み合わせを治療
治療前

治療後

治療前

治療後

| 主訴 | 前歯で物が噛み切れない |
|---|---|
| 診断名あるいは主な症状 | 前歯部開咬、顎の位置のずれ(顎変形症) |
| 年齢・性別 | 33歳 男性 |
| 治療期間・回数 | 3年7か月 39回 |
| 抜歯部位(抜歯の有無) | 上顎左右側第二小臼歯、下顎左右側第一小臼歯を抜歯 |
| 治療に用いた主な装置 | 表側ブラケット(ワイヤー) |
| 治療費 | 保険治療(外科手術併用) |
| リスクと副作用 | 痛み、歯根吸収、歯肉退縮、虫歯、後戻り、ブラックトライアングル |
矯正相談はこちらから
矯正治療を検討している方は、当院へお気軽にお問い合わせください。