TOPへ

症例

主訴
矯正装置
年齢
抜歯/非抜歯

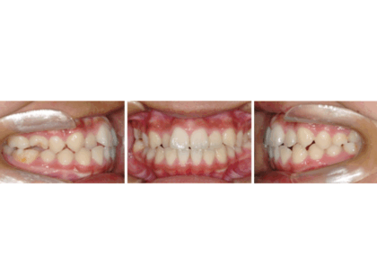
反対咬合(受け口)

主訴
反対咬合(受け口)、叢生(ガタガタ/八重歯)
矯正装置
ワイヤー矯正
年齢・性別
20代(男)
抜歯/非抜歯
抜歯

叢生(がたがた)・小臼歯がねじれて生えている

主訴
反対咬合(受け口)、叢生(ガタガタ/八重歯)
矯正装置
ワイヤー矯正
年齢・性別
10代(男)
抜歯/非抜歯
非抜歯

叢生(歯のガタガタ)

主訴
反対咬合(受け口)、叢生(ガタガタ/八重歯)
矯正装置
ワイヤー矯正
年齢・性別
10代(男)
抜歯/非抜歯
抜歯

叢生(歯のガタガタ)

主訴
反対咬合(受け口)、叢生(ガタガタ/八重歯)
矯正装置
ワイヤー矯正
年齢・性別
30代(女)
抜歯/非抜歯
抜歯

叢生、出っ歯、ガミースマイル

主訴
ガミースマイル、上顎前突(出っ歯)、叢生(ガタガタ/八重歯)
矯正装置
ワイヤー矯正、矯正用アンカースクリュー
年齢・性別
20代(女)
抜歯/非抜歯
抜歯

叢生、出っ歯

主訴
上顎前突(出っ歯)、叢生(ガタガタ/八重歯)
矯正装置
ワイヤー矯正、矯正用アンカースクリュー
年齢・性別
20代(女)
抜歯/非抜歯
抜歯

叢生、出っ歯

主訴
上顎前突(出っ歯)、叢生(ガタガタ/八重歯)
矯正装置
ワイヤー矯正、矯正用アンカースクリュー
年齢・性別
30代(女)
抜歯/非抜歯
抜歯

叢生、出っ歯

主訴
上顎前突(出っ歯)、叢生(ガタガタ/八重歯)
矯正装置
マウスピース矯正装置(インビザライン)
年齢・性別
20代(女)
抜歯/非抜歯
抜歯

叢生、出っ歯

主訴
上顎前突(出っ歯)、叢生(ガタガタ/八重歯)
矯正装置
マウスピース矯正装置(インビザライン)
年齢・性別
30代(女)
抜歯/非抜歯
抜歯

叢生、出っ歯、矮小歯、過蓋咬合

主訴
上顎前突(出っ歯)、叢生(ガタガタ/八重歯)、矮小歯(歯が小さい)、過蓋咬合(かみ合わせが深い/下の前歯が見えにくい)
矯正装置
マウスピース矯正装置(インビザライン)
年齢・性別
20代(女)
抜歯/非抜歯
抜歯