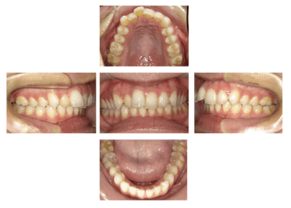
- 主訴
- 上顎前突(出っ歯)、叢生(ガタガタ/八重歯)
- 矯正装置
- マウスピース矯正装置(インビザライン)
- 年齢・性別
- 20代(女)
- 抜歯/非抜歯
- 抜歯
- 主訴
- 上顎前突(出っ歯)、叢生(ガタガタ/八重歯)
- 矯正装置
- マウスピース矯正装置(インビザライン)
- 年齢・性別
- 20代(女)
- 抜歯/非抜歯
- 抜歯
- 主訴
- 反対咬合(受け口)、叢生(ガタガタ/八重歯)、空隙歯列(すきっ歯・正中離開)
- 矯正装置
- マウスピース矯正装置(インビザライン)
- 年齢・性別
- 30代(女)
- 抜歯/非抜歯
- 非抜歯
- 主訴
- 叢生(ガタガタ/八重歯)
- 矯正装置
- マウスピース矯正装置(インビザライン)
- 年齢・性別
- 20代(女)
- 抜歯/非抜歯
- 非抜歯
- 主訴
- 上顎前突(出っ歯)、叢生(ガタガタ/八重歯)
- 矯正装置
- マウスピース矯正装置(インビザライン)
- 年齢・性別
- 10代(男)
- 抜歯/非抜歯
- 非抜歯
- 主訴
- 叢生(ガタガタ/八重歯)
- 矯正装置
- マウスピース矯正装置(インビザライン)
- 年齢・性別
- 10代(女)
- 抜歯/非抜歯
- 非抜歯
- 主訴
- 反対咬合(受け口)、叢生(ガタガタ/八重歯)
- 矯正装置
- マウスピース矯正装置(インビザライン)
- 年齢・性別
- 10代(男)
- 抜歯/非抜歯
- 非抜歯
- 主訴
- 上顎前突(出っ歯)、叢生(ガタガタ/八重歯)
- 矯正装置
- マウスピース矯正装置(インビザライン)
- 年齢・性別
- 20代(女)
- 抜歯/非抜歯
- 非抜歯
- 主訴
- 上顎前突(出っ歯)、叢生(ガタガタ/八重歯)、過蓋咬合(かみ合わせが深い/下の前歯が見えにくい)
- 矯正装置
- マウスピース矯正装置(インビザライン)
- 年齢・性別
- 20代(女)
- 抜歯/非抜歯
- 非抜歯
- 主訴
- 上顎前突(出っ歯)、叢生(ガタガタ/八重歯)、過蓋咬合(かみ合わせが深い/下の前歯が見えにくい)
- 矯正装置
- マウスピース矯正装置(インビザライン)
- 年齢・性別
- 10代(女)
- 抜歯/非抜歯
- 非抜歯